LABSKIN EPIDERMIS
Towards advanced epidermal tissue engineering

What is it About?
The human epidermis is the crucial tissue that produces a robust, stretchy and self-repairing barrier between our internal body organs and our environment.
Several practical limitations in the in vivo studies of the human epidermis have led to the development of in vitro epidermal equivalents when the attention of researchers focused on the human epidermis.
For this purpose, LabSkin Creations developed unique approaches to reconstruct human epidermis in vitro based on versatile and automated approaches.
LabSkin Reconstructed Human Epidermis
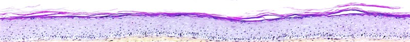
LabSkin Reconstructed Human Epidermis (RHE) is human skin tissue obtained from an in vitro process in which human keratinocytes are cultured on an inert or biological substrate.
After 14 days, a stratified epidermis has formed that closely resembles human epidermis in vivo. Morphologically, these cultures exhibit a well-stratified epithelium and cornified epidermis with significantly improved barrier function and metabolic activity.

LabSkin Reconstructed Human Epidermis exhibits a similar proliferation and differentiation pattern compared to the normal human epidermis in vivo, and represent reproducible model in a controlled environment.

LabSkin Bioprinting: Reconstructed Epidermis 2.0
Current commercially available tissue-engineered epidermis has remained elusive despite extensive research because the multi-stratified structure is difficult to replicate in vitro using conventional tissue engineering techniques.
In the last few years, bioprinting has opened brand-new opportunities for the production of these models, providing a more efficient approach in terms of precision and homogeneity and offering experimental versatility.




LabSkin Creations developed a new automated bioprinting platform to produce robust,
homogeneous and reproducible large 3D epidermal constructs.
Bioprinted Human Pigmented Epidermis
An advantage of our bioprinting platform is the possibility of incorporating various additional cell types in combination with keratinocytes for the creation of more advanced 3D skin models. Melanocytes can be successfully isolated and cultured from the human epidermis and so can be diluted into a suspension of cultured keratinocytes in order to obtain 3D culture.

Here, bioprinted melanocytes appear as dendritic cells and are polarized to the basal layers maintaining close contacts with both the basal lamina and neighbouring keratinocytes.







